Front and Centre – Research Excellence News Archive
Improving global health through breast milk
February 4, 2020 —
A $6.5 million grant has been awarded to a University of Manitoba researcher by the Bill & Melinda Gates Foundation to establish a new global health initiative dedicated to breast milk: the International Milk Composition (IMiC) Consortium.
UM research project to improve kidney health in remote communities wins funding from TD Bank
December 3, 2019 —
This funding will expand the University of Manitoba’s Kidney Check program
Wpg Free Press: Donation opens doors for Alzheimer’s study subjects
February 4, 2019 —
A Winnipeg researcher who is studying a potential treatment for Alzheimer’s disease is looking for more participants for her program —and just got the funding to help more people access it
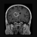
Terry Fox Research Institute supports trailblazing work of biologist helping brain cancer patients
March 7, 2018 —
Brain cancer research in Manitoba has received a boost with news that a U of M researcher has won a prestigious cancer research award
Rady Faculty of Health Sciences
Mental health project to test ‘virtual care’ for rural Manitobans
February 13, 2018 —
Study will test “virtual care” tools, such as videoconferencing, with the goal of increasing access to mental health care for rural Manitobans, thanks to support from AstraZeneca Canada.
Happening now: Our greatest transformation
November 17, 2017 —
'We have reached a new, unprecedented level of generosity in our Front and Centre campaign'
Great-West Life, Investors Group and Power Corporation investing to create unique leadership institute at U of M
May 3, 2017 —
'As we reflected on great Manitoban leaders of the past, many of whom had graduated from the University of Manitoba, we honed in on the importance of leadership in the development of great companies and great communities'
Paving a better way, Province and City support new chair in municipal infrastructure
October 25, 2016 —
The new Municipal Infrastructure Chair and partners will work together to develop and test innovative solutions
Wpg Free Press: Global crisis, U of M breakthrough
October 17, 2016 —
Research team's 'out-of-the-box' thinking delivers promising ammunition in war with antibiotic-resistant bacteria
Student support propels campaign past $400M
September 24, 2016 —
UMSU commitment recognized with naming of iconic building





